CSF1 Receptor Inhibitor Vimseltinib Approved for Tenosynovial Giant Cell Tumor 

The FDA has approved a CSF1 small molecule inhibitor for certain patients with symptomatic tenosynovial giant cell tumor. 

The U.S. Food and Drug Administration (FDA) has approved vimseltinib (Romvimza) for the treatment of adult patients with symptomatic tenosynovial giant cell tumor (TGCT) that is not amenable to surgery. 

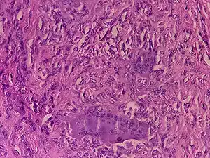
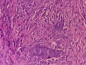
Tenosynovial giant cell tumor, seen here under a microscope, can now be treated with the CSF1 receptor inhibitor vimseltinib.

Vimseltinib is a targeted therapy that can block the signaling of the CSF1 receptor whose overactivation can drive the development of TGCT. This is the first FDA approval for vimseltinib, which follows pexidartinib (Turalio) as the second FDA-approved small molecule inhibitor of the CSF1 receptor for patients with TGCT. Vimseltinib’s approval is significant for TGCT patients given the risks of liver toxicity associated with pexidartinib, which requires special patient evaluation before its use. 

The approval was based on results from the phase III MOTION study. In this double-blind, multicenter, randomized, placebo-controlled trial, 123 patients with symptomatic TGCT not amenable to surgical resection were randomly assigned (2:1) to receive either vimseltinib or placebo.  

When evaluated 25 weeks after the start of treatment, 40% of tumors treated with vimseltinib responded, while there were no responses observed in the tumors of patients in the placebo arm. 

Responses to vimseltinib were ongoing in 85% of tumors at six months and in 58% of tumors at nine months. Additionally, compared with patients who received placebo, patients who received vimseltinib experienced improvements in quality of life, including increased range of motion and physical functioning, and decreased pain. Earlier clinical trial results evaluating the safety and efficacy of vimseltinib were published in the American Association for Cancer Research (AACR) journal Clinical Cancer Research. 

The recommended dose of vimseltinib is 30 mg orally twice weekly, with at least 72 hours between doses. 

TGCT comprises a group of rare tumors that arise in and around the joints and tendons. Although these tumors are benign, they can cause tissue damage, pain, swelling, and limit movement. It was estimated that TGCT affects approximately 1.8 to 4 people per million people each year in the United States. 


The FDA rendered its decision on February 14, 2025. Check this resource for updated information on all therapeutics regulated by the FDA.