What Is a Gleason Score for Prostate Cancer?
A subset of the approximately 313,780 new cases of prostate cancer expected this year will be considered aggressive, meaning the tumor is likely to grow quickly and spread to other parts of the body. Knowing how aggressive a patient’s prostate cancer is allows clinicians to identify patients who might benefit from extensive treatment and those who might qualify for a more conservative approach. To help determine the aggressiveness of a prostate tumor, clinicians calculate what is known as a Gleason score. The higher the score, the more aggressive the cancer.
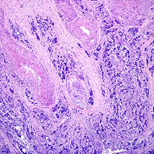
How Is the Gleason Score Calculated?
Some cancer cells look like normal, noncancerous cells—these tend to be less aggressive than cancer cells that look very different from normal cells. For most cancer types, the tumor is assigned a grade, with grade 1 tumors looking the most normal and grade 5 tumors the most abnormal.
But compared with other cancer types, prostate cancer is more likely to be multifocal—meaning the prostate can have several tumors, each of which could have a distinct grade. Plus, prostate cancer tends to be highly heterogeneous, and one part of a prostate tumor may look very different than another part of that same tumor.
The Gleason score accounts for these features by combining grades from different regions of the prostate cancer. To calculate the score, pathologists analyze prostate tissue collected from a biopsy, identify the two most representative cellular patterns, and assign each of these a grade.
The grades are then added together, and the sum is the Gleason score.
When reporting this score, pathologists typically include the grade of each pattern, with the grade of most representative pattern listed first. For example, if a cancer’s most common pattern were grade 4 and the second most common were grade 3, then the report may say “Gleason score 7 (4 + 3)” or “Gleason score 4 + 3 = 7.” Since each cellular pattern can have a grade between 1 and 5, Gleason scores can theoretically range from 2 (1 + 1) to 10 (5 + 5), but most prostate cancers have scores of 6 or higher.
What Does a Gleason Score Mean?
Gleason score of 6 means that the cancer has a low risk of growing and spreading.
Gleason score of 7 means that the cancer has an intermediate risk of growing and spreading. Intermediate-risk tumors may be further classified as favorable (Gleason score 7 (3 + 4)) or unfavorable (Gleason Score 7 (4 + 3)) based, in part, on the grade of the most common cellular pattern.
Gleason scores of 8, 9, or 10 mean that the cancer has a high risk of growing and spreading. These cancers are considered aggressive.
How Does Gleason Score Influence Prostate Cancer Treatment?
Generally speaking, the recommendation for many patients with low-risk cancers is active surveillance, which involves closely monitoring the patient’s disease in lieu of starting treatment. Active surveillance might also be an option for some patients with favorable intermediate-risk cancers, while other patients with favorable intermediate-risk cancers might choose radiation or surgery.
Patients with aggressive cancers, including unfavorable intermediate-risk and high-risk tumors, are typically recommended to undergo surgery or radiation combined with hormone therapy, as long as they are expected to live at least 10 more years.
But it’s important to remember that the Gleason score is just one of many factors that determine risk and guide treatment decisions for prostate cancer. Additional factors associated with a prostate cancer’s risk of growing and spreading include its stage, molecular features, and levels of the prostate-specific antigen (PSA) in the patient’s blood. Treatment decisions are also influenced by the patient’s age, overall health, and preferences.


Could the Gleason number change, depending on which samples being analyzed? For example, if samples A and B are added together for a score of 6, could samples A and C equal 7 or 8? What is the likelihood that a biopsy misses the more aggressive part of the tumor? Also, do score change over time?
Thank you for these great questions! Yes, prostate cancer tends to be heterogeneous, which means one part of the tumor might look very different from another. As a result, different samples very well might have different grades, but the Gleason score isn’t based on just any two samples.
Clinicians collect multiple samples from different regions of the tumor in order to best capture the various patterns present across the tumor. This reduces the chance that they miss a more aggressive part of the tumor. The Gleason score is then calculated based on the two patterns that are most commonly observed across all of the collected samples.
Many studies—including this one from the AACR journal Cancer Research—have found that Gleason scores typically do not change over time. Hope this helps!