Combining Two Immunotherapeutics for Asbestos-related Cancer
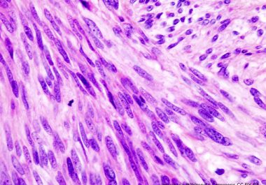
The FDA approved a combination of two immune checkpoint inhibitors to treat adult patients with unresectable malignant pleural mesothelioma....
The FDA approved a combination of two immune checkpoint inhibitors to treat adult patients with unresectable malignant pleural mesothelioma....
The FDA approved the first liquid biopsy companion diagnostic that uses next-generation sequencing to test for EGFR gene mutations...
The FDA has approved the first targeted therapeutic against B-cell maturation antigen (BCMA) to treat certain patients with multiple...
The FDA has approved a new immunotherapeutic for treating certain adult patients with diffuse large B-cell lymphoma. The U.S....
The FDA has approved a combination of the immune checkpoint inhibitor atezolizumab with two targeted therapies for certain patients...
The FDA has approved a CAR T-cell immunotherapy to treat certain adult patients with mantle cell lymphoma. The U.S....
The FDA approved an oral combination of an epigenetic therapy along with an enzyme inhibitor to treat certain adults...
The FDA approved the use of an immune checkpoint inhibitor as a first-line treatment for patients with colorectal cancers...
The FDA approved the use of an immune checkpoint inhibitor to treat certain patients with cutaneous squamous cell carcinoma. ...
Editor’s Note: On April 30, 2026, the FDA withdrew the accelerated approval of selinexor for this indication. The FDA...