Targeting Leukemia in Older Patients
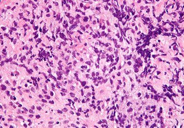
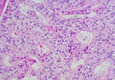
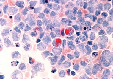
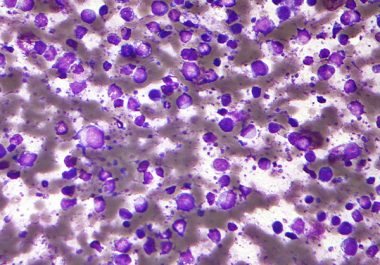
The FDA recently approved two molecularly targeted therapeutics for treating patients newly diagnosed with acute myeloid leukemia (AML) who...
The FDA recently approved two molecularly targeted therapeutics for treating patients newly diagnosed with acute myeloid leukemia (AML) who...
The FDA approval of pembrolizumab for treating certain patients with liver cancer makes it the second immunotherapeutic approved for...
The U.S. Food and Drug Administration adds a fifth molecularly targeted therapeutic option for the treatment of ALK-positive lung...
The FDA approval of talazoparib means there are now two PARP inhibitors that can be used to treat patients...
The FDA adds a fifth molecularly targeted therapeutic option for the treatment of lung cancer driven by EGFR mutations....
The FDA has approved a new molecularly targeted therapeutic called duvelisib for treating certain patients with blood cancer. The...
The FDA decision makes cemiplimab-rwlc the first-ever treatment approved specifically for treating squamous cell carcinoma. The U.S. Food and...
The FDA has expanded the use of the immunotherapeutic nivolumab to treat certain patients with small cell lung cancer....
The FDA has approved the first of a new type of molecularly targeted therapy for use in treating certain...
The FDA has approved expanding the use of lenvatinib to treat certain patients with the most common type of...