Durvalumab Approved for Endometrial Cancer

The immunotherapy durvalumab may be used with chemotherapy to treat certain endometrial cancers. 

The U.S. Food and Drug Administration (FDA) has approved durvalumab (Imfinzi) with chemotherapy, followed by durvalumab alone, for advanced or recurrent endometrial cancers that have defects in mismatch repair, a type of DNA repair. 

Durvalumab is an immune checkpoint inhibitor, a type of immunotherapy that prevents cancer cells from turning off the antitumor immune response. It works by binding the PD-L1 protein on cancer cells, which may be found at high levels in cancers with defective mismatch repair (dMMR). This is durvalumab’s fourth FDA-approved indication and its first for endometrial cancer. 

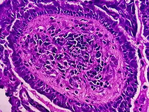
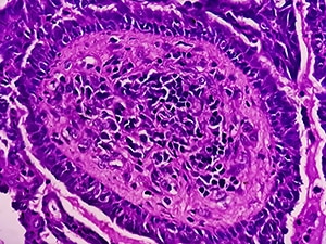
A microscope image of endometrial cancer cells. 

The approval was based on results from DUO-E, a randomized, multicenter, double-blind, placebo-controlled phase III clinical trial that enrolled patients with advanced or recurrent endometrial cancer. Patients were randomly assigned (1:1:1) to one of three treatment arms: durvalumab plus chemotherapy, followed by durvalumab alone; placebo plus chemotherapy, followed by placebo alone; or another regimen containing investigational therapeutics. 

Among 95 patients with dMMR endometrial tumors, those in the durvalumab arm had a 58% lower risk of disease progression compared with those in the placebo arm. The median progression-free survival for the durvalumab arm was not reached but was 7 months for the placebo arm. 

For patients who weigh 30 kg or more, the recommended dosage is 1,120 mg of durvalumab with chemotherapy every three weeks for six cycles, followed by 1,500 mg of durvalumab every four weeks. For patients less than 30 kg in weight, the recommended dosage is 15 mg/kg of durvalumab with chemotherapy every three weeks for six cycles, followed by 20 mg/kg of durvalumab every four weeks. 

Endometrial cancer arises in the lining of the uterus and is the most common type of uterine cancer. Around 20% to 30% of endometrial cancers are classified as dMMR. According to federal statistics, it was estimated that 67,880 individuals would be diagnosed with uterine cancer and 13,250 patients would die of the disease in the United States in 2024. 


The FDA rendered its decision on June 14, 2024.