Study: Liver Cancer Associated with Obesity and Diabetes
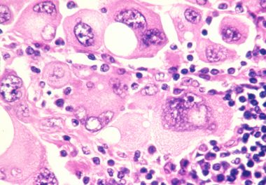
Each of the three obesity-related factors, body mass index (BMI), waist size, and type 2 diabetes, was associated with liver cancer risk in a large study.
Each of the three obesity-related factors, body mass index (BMI), waist size, and type 2 diabetes, was associated with liver cancer risk in a large study.
An investigational immunotherapeutic was safe, tolerable, and showed some activity against melanoma in a phase I clinical trial.
The number of Hispanic breast cancer patients in California getting care and participating in a clinical trial increased, a study found.
The lack of androgen receptor protein may contribute to racial disparities in survival for women with this aggressive form of breast cancer.
In an early-phase trial, investigators study whether combining immunotherapies expands “tumor-specific immune activation.” A small phase Ib study of a combination of an investigational cytokine-based immunotherapy and the checkpoint inhibitor pembrolizumab (Keytruda) showed promise...
Researchers seek to understand why some patients do not respond to immunotherapeutics while others achieve durable outcomes.
Black patients in highly segregated neighborhoods were less likely to have lung cancer surgery.
Researchers urge better regulation to protect public health It’s no surprise that air pollution has been linked with lung cancer. A new study suggests that pollution is also associated with increased risk of mortality...
The amount of residual tumor left after surgery is an important prognostic factor for ovarian cancer patient survival. A newly devised tumor-specific fluorescent agent and imaging system guided surgeons in real time to remove...
Researchers examine the “oral microbiome” to look for clues to cancer risk. In a continuing effort to better understand how cancers develop, some researchers are looking into the mouth and finding that poor oral...