A New Immunotherapy Option for Patients with Multiple Myeloma
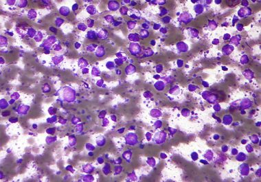
The FDA has approved the immunotherapeutic isatuximab-irfc (Sarclisa) to treat certain patients with multiple myeloma. The U.S. Food and...
The FDA has approved the immunotherapeutic isatuximab-irfc (Sarclisa) to treat certain patients with multiple myeloma. The U.S. Food and...
The FDA has expanded the use of the molecularly targeted therapeutic neratinib to include the treatment of certain patients...
The FDA has approved a targeted therapy for epithelioid sarcoma, the first treatment approved for this form of cancer....
The FDA has approved a molecularly targeted treatment for certain patients with this form of soft tissue sarcoma. The...
The FDA approved the use of the targeted therapeutic olaparib to treat certain pancreatic cancer patients whose disease has...
The FDA approved a new treatment for adults with advanced breast cancer that has developed resistance to other targeted...
The FDA has approved a molecularly targeted therapeutic for patients with locally advanced or metastatic urothelial cancer. The U.S....
The FDA approved a molecularly targeted therapy to treat patients with chronic lymphocytic leukemia and small lymphocytic lymphoma. The...
The FDA approved zanubrutinib to treat patients with mantle cell lymphoma, an aggressive type of non-Hodgkin lymphoma. The U.S....
The FDA approval of the combination therapy further expands the number of cancers that can be treated with pembrolizumab....