Monoclonal Antibody Therapy Approved for Adults with Newly Diagnosed Light-chain Amyloidosis

Daratumumab and hyaluronidase-fihj is now indicated as part of a combination therapy for the potentially fatal condition that can develop in patients with multiple myeloma.

The U.S. Food and Drug Administration (FDA) has granted traditional approval to daratumumab and hyaluronidase-fihj (Darzalex Faspro) in combination with bortezomib, cyclophosphamide, and dexamethasone for adults with newly diagnosed light-chain amyloidosis.

This indication was granted an accelerated approval in 2021

Daratumumab, a monoclonal antibody, targets the protein CD38, which is highly expressed on the surface of abnormal plasma blood cells—including those that can produce the mutant amyloids of amyloidosis. Binding of daratumumab to CD38 leads to cell death. The hyaluronidase-fihj element of the treatment partially breaks down the extracellular matrix around cells so that daratumumab can reach CD38-expressing cells more effectively.

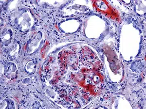
Amyloidosis causes abnormal proteins (stained red in the above photomicrograph of kidney tissue) to accumulate throughout the body.

The conversion of the accelerated approval to a full approval was based on updated results—including major organ deterioration progression-free survival (MOD-PFS) and overall survival (OS) data—from the open-label, randomized, multicenter phase III ANDROMEDA clinical trial. The trial enrolled 388 patients with newly diagnosed light-chain amyloidosis with measurable disease that had affected at least one organ. Patients were randomly assigned to receive either the combination of bortezomib, cyclophosphamide, and dexamethasone (VCd) or daratumumab and hyaluronidase-fihj with VCd (D-VCd). 

The researchers analyzed results after a median follow-up of 61.4 months and found a significant improvement in MOD-PFS for patients who received D-VCd, who were 53% less likely to experience major organ deterioration, hematologic progression, or death in that time than patients who received VCd. Median MOD-PFS was 30.2 months in the VCd arm and was not reached in the D-VCd arm, meaning that fewer than half of the patients taking D-VCd had experienced major organ deterioration, hematologic progression, or death during the median 61.4 months of follow-up.

OS also significantly improved in the D-VCd arm relative to the VCd arm. Although more than half of the patients in both arms were still alive after a median of 61.4 months, patients in the D-VCd arm were 48% less likely to have died than the patients in the VCd arm at the time of follow-up.

Daratumumab and hyaluronidase-fihj is administered as a subcutaneous injection in the abdomen over three to five minutes. The recommended dose is 1,800 mg of daratumumab with 30,000 units of hyaluronidase-fihj, administered weekly for the first eight weeks, every other week during weeks nine through 24, and every four weeks thereafter until either the disease progresses or two years pass. 

Light-chain amyloidosis is a subtype of amyloidosis, a condition that can occur in patients diagnosed with multiple myeloma. Though not cancerous itself, amyloidosis is a disease of mutated plasma cells, which can include cancerous plasma cells. The disease causes misfolded, abnormal amyloid proteins to accrue excessively and damage nerves, tissues, and organs throughout the body. In light-chain amyloidosis, light-chain substructures in amyloids become abnormal and are overproduced. As a rare disease, between 1,275 and 3,200 new cases of amyloidosis are estimated to be diagnosed in the United States annually, and light-chain amyloidosis accounts for about 78% of those cases. One analysis found that the five-year relative survival for light-chain amyloidosis is 43%. 


The FDA rendered its decision on November 19, 2025. Check this resource for updated information on all therapeutics regulated by the FDA.