AACR Virtual Annual Meeting II: Opening Plenary Captures the Breadth of Cutting-edge Cancer Research
Following the resounding success of the First Virtual Annual Meeting with more than 61,000 attendees in April, the AACR...
Following the resounding success of the First Virtual Annual Meeting with more than 61,000 attendees in April, the AACR...
“The field of cell therapy is one of the most exciting fields in translational medicine,” began Katayoun Rezvani, MD, PhD,...
Early detection of most cancers is an elusive and daunting task; nevertheless, it has remained a top priority for...
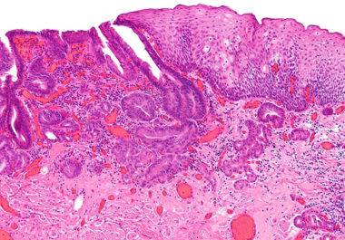
Cancer of the esophagus, a relatively rare cancer, is a diagnosis that approximately 18,440 Americans are expected to receive...
There has been an explosion in the number of cancer therapeutics and clinical trials in the recent past, owing...
After three decades of failed efforts to target the elusive KRAS and its family members NRAS and HRAS, proto-oncogenes...
The AACR-NCI-EORTC International Conference on Molecular Targets and Cancer Therapeutics, held this year at the Hynes Convention Center in...
In recent decades, the cancer research community has made great strides by bringing new, targeted, safer, and longer-lasting treatments...
One of the world’s largest cancer research conferences, the AACR Annual Meeting 2019, came to an end with a...
About 80 percent of lung cancers are non-small cell lung cancers (NSCLC), and about 15 to 20 percent of...