Apps and Acupuncture: Improving Breast Cancer Survivors’ Quality of Life
In clinical trials presented at SABCS, a mobile health tool and acupuncture helped to improve breast cancer survivors' quality...
In clinical trials presented at SABCS, a mobile health tool and acupuncture helped to improve breast cancer survivors' quality...
Guest post by Patrick Williams, PhDAACR Scientific Research Analyst In a virtual Congressional briefing on February 9, 2022, the...
Putting off a routine medical examination for a few months might seem, to many, as routine as the examination...
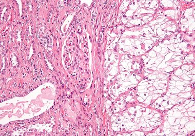
Editor’s note: This story, written by Anna Azvolinsky, first appeared in Leading Discoveries, a magazine and website that raises...
The COVID-19 pandemic has taken a devastating toll, with 5.8 million deaths worldwide, including nearly 1 million in the...
For the first Editors’ Picks collection of 2022, the editors of the AACR journals highlighted studies that assessed the...
In the United States, advances in cancer research have dramatically improved outcomes for children diagnosed with cancer. While pediatric...
Margaret Foti, PhD, MD (hc), chief executive officer of the American Association for Cancer Research (AACR), along with other...
As recently as 10 years ago, the words “machine learning” evoked thoughts of sentient robots and fears of the...
Despite tremendous progress against cancer in the past few decades, not all Americans have benefited equally from advances in...
Seven immune checkpoint inhibitors, targeting the PD-1, PD-L1, or CTLA-4 proteins, are currently approved for the treatment of cancer....